首页 > 医疗资讯/ 正文
食管鳞状细胞癌(ESCC)是中国高发的恶性肿瘤类型,约占所有食管癌病例的百分之九十,其五年生存率极低,临床治疗手段有限,预后普遍较差。近年来,非编码RNA在肿瘤发生发展中的作用逐渐成为研究热点,其中环状RNA因其闭合环状结构而具有较高的稳定性,在多种癌症中表现出显著的表达异常,并参与调控肿瘤细胞的增殖、侵袭与转移等恶性行为。然而,在食管鳞癌中,大多数环状RNA的具体功能及其作用机制仍不明确。本研究团队前期通过转录组测序建立了ESCC中环状RNA的表达谱,并发现多个候选分子可能参与疾病进程,其中来源于长链非编码RNA FIRRE基因的环状RNA——circLNF,在肿瘤组织中表达显著上调,但其在ESCC中的生物学功能及调控网络尚待阐明。
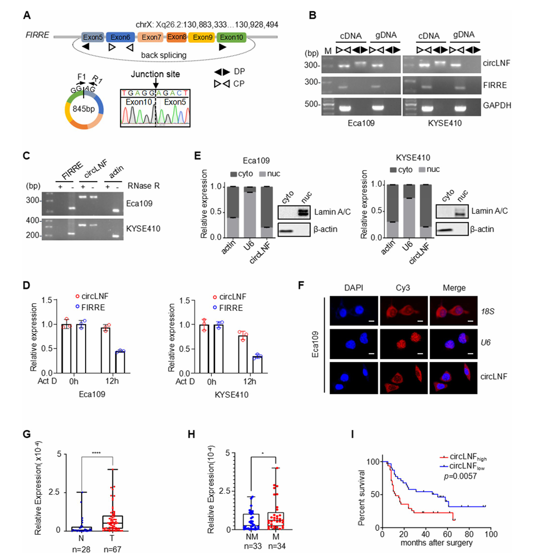
为系统探究circLNF在食管鳞癌中的作用,研究团队采用了一系列体外与体内实验方法。首先,通过RT-PCR结合Sanger测序验证了circLNF的环状结构及其全长序列,并利用RNase R耐受实验证实其对外切酶降解具有抵抗能力。荧光原位杂交与细胞组分分离实验进一步显示circLNF主要定位于细胞质。在功能研究方面,研究人员构建了circLNF过表达及敲低的稳定细胞系,通过细胞增殖实验、克隆形成实验、Transwell迁移与侵袭实验以及划痕愈合实验,系统评估了circLNF对ESCC细胞恶性表型的影响。在动物模型中,利用裸鼠皮下移植瘤实验和尾静脉注射肺转移模型,分别观察了circLNF对肿瘤生长与远处转移的调控作用。在机制探索层面,研究采用RNA pull-down联合质谱分析筛选与circLNF相互作用的蛋白,并通过免疫共沉淀、电泳迁移率变动分析及RNA免疫共沉淀等技术验证其与IGF2BP家族蛋白的直接结合。此外,通过构建“CAUC”基序突变的circLNF变体,明确了其与IGF2BP结合的结构基础。为探究circLNF对IGF2BP蛋白稳定性的影响,研究人员进行了环己酰亚胺追踪实验、蛋白酶体抑制剂MG132处理实验以及泛素化检测,从翻译后修饰层面解析其调控机制。
图1 ESCC中circLNF的表征
结果显示,circLNF在ESCC肿瘤组织中的表达显著高于癌旁正常组织,且其高表达与淋巴结转移及患者总体生存期缩短显著相关,提示circLNF可能作为ESCC潜在的预后生物标志物。在功能上,circLNF过表达可显著增强ESCC细胞的增殖、迁移与侵袭能力,并在小鼠模型中促进肿瘤生长与肺转移形成;相反,敲低circLNF则明显抑制这些恶性行为。机制研究表明,circLNF通过其序列中保守的“CAUC”基序直接结合IGF2BP1、IGF2BP2和IGF2BP3蛋白,进而干扰E3泛素连接酶TRIM25与IGF2BP之间的相互作用,抑制后者发生泛素化修饰及蛋白酶体降解途径,从而稳定IGF2BP蛋白水平。值得注意的是,这种稳定作用依赖于circLNF与IGF2BP的直接结合,当“CAUC”基序发生突变时,circLNF无法与IGF2BP结合,其促癌功能也随之丧失。在临床样本中,circLNF的表达与IGF2BP1蛋白水平呈显著正相关,进一步支持了该调控轴在ESCC发生发展中的病理意义。
图2 异位表达circLNF促进ESCC恶性进展
综上所述,本研究发现了一个新型环状RNA circLNF,其在食管鳞癌中通过直接结合并稳定IGF2BP家族蛋白,进而促进肿瘤恶性进展。该作用机制依赖于circLNF对TRIM25介导的泛素化降解途径的竞争性抑制,从而增强IGF2BP的蛋白稳定性及其促癌功能。这一发现不仅深化了对环状RNA在肿瘤中作用机制的理解,也为ESCC的分子靶向治疗提供了新的潜在靶点与理论依据。
原始出处:
Tan, S., Ming, Y., Guo, J. et al. A circRNA promotes esophageal squamous cell carcinoma progression by inhibiting TRIM25-mediated degradation of IGF2BP family members. Mol Cancer 24, 243 (2025). https://doi.org/10.1186/s12943-025-02442-3
本文相关学术信息由梅斯医学提供,基于自主研发的人工智能学术机器人完成翻译后邀请临床医师进行再次校对。如有内容上的不准确请留言给我们。
- 搜索
-
- 1000℃李寰:先心病肺动脉高压能根治吗?
- 1000℃除了吃药,骨质疏松还能如何治疗?
- 1000℃抱孩子谁不会呢?保护脊柱的抱孩子姿势了解一下
- 1000℃妇科检查有哪些项目?
- 1000℃妇科检查前应做哪些准备?
- 1000℃女性莫名烦躁—不好惹的黄体期
- 1000℃会影响患者智力的癫痫病
- 1000℃治女性盆腔炎的费用是多少?
- 标签列表
-
- 星座 (702)
- 孩子 (526)
- 恋爱 (505)
- 婴儿车 (390)
- 宝宝 (328)
- 狮子座 (313)
- 金牛座 (313)
- 摩羯座 (302)
- 白羊座 (301)
- 天蝎座 (294)
- 巨蟹座 (289)
- 双子座 (289)
- 处女座 (285)
- 天秤座 (276)
- 双鱼座 (268)
- 婴儿 (265)
- 水瓶座 (260)
- 射手座 (239)
- 不完美妈妈 (173)
- 跳槽那些事儿 (168)
- baby (140)
- 女婴 (132)
- 生肖 (129)
- 女儿 (129)
- 民警 (127)
- 狮子 (105)
- NBA (101)
- 家长 (97)
- 怀孕 (95)
- 儿童 (93)
- 交警 (89)
- 孕妇 (77)
- 儿子 (75)
- Angelababy (74)
- 父母 (74)
- 幼儿园 (73)
- 医院 (69)
- 童车 (66)
- 女子 (60)
- 郑州 (58)