首页 > 医疗资讯/ 正文
星形胶质细胞瘤是胶质瘤的常见类型之一,男性发病显著高于女性,多发生于大脑额叶和颞叶部位[1]。高级别星形胶质细胞瘤包括间变性星形细胞瘤(WHO III 级)和多形性胶质母细胞瘤(WHO IV 级)[2],其中WHO IV 级星形胶质细胞瘤是成年人中最常见的原发性恶性肿瘤,患病率为每10万人口1-5例[3],且死亡率极高,对临床治疗构成了巨大挑战[2]。本次分享了1例WHO IV级星形胶质细胞瘤经过替尼泊苷联合化疗方案,一定程度延缓了病情进展的病例。
病例介绍
基本信息:患者男,49岁,2020-12-11因主诉间断性头痛伴恶心呕吐一周入院。H:172cm,W:75Kg,BSA:1.92。
现病史:患者于一周前无明显诱因出现双侧额颞部疼痛,呈间断性,每次疼痛可持续约一小时,后自行缓解,伴头晕、恶心、呕吐、右眼视物模糊,无行走不稳、四肢抽搐、意识障碍等;于他院就诊行头颅MRI提示:右侧颞叶占位。
既往史:患者自诉十年前突发心绞痛,后长期服用辅酶Q10,2-3粒/天,自诉病情控制较好,未再有特殊不适;患者20年前因“急性阑尾炎”行手术治疗,术后恢复良好;否认高血压、糖尿病、肾病病史,否认肝炎、结核等传染病史。无外伤史。无输血史。否认药物、食物过敏史。
个人史:否认疫区、疫水接触史。否认毒物、放射性物质接触史。否认烟酒嗜好。
家族史:否认家族遗传性肿瘤病史。
诊疗经过
初诊
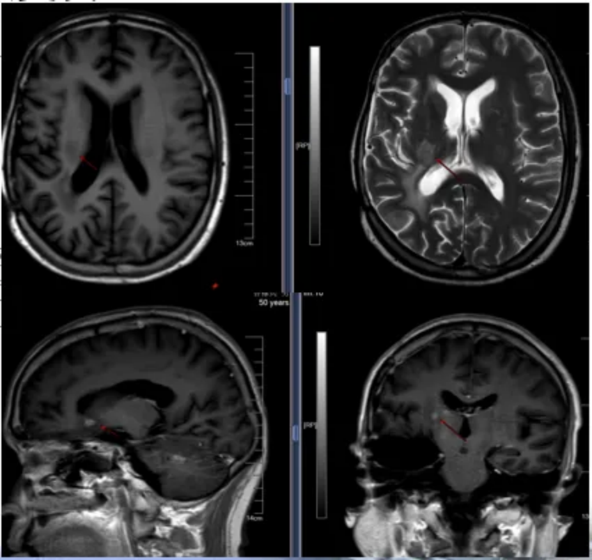
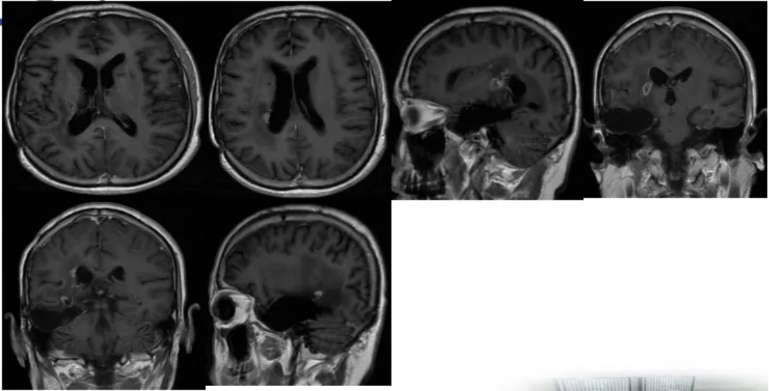
2020-12-12影像辅助检查:颅脑MRI增强+MRA+MRV+MRS,提示右侧颞叶可见类圆形不均匀T1等低信号,T2等高信号,DWI信号混杂,实性成分呈高信号,ADC呈等信号,大小约56mm*41mm*41mm,增强扫描呈不均匀显著强化,内见血管穿行(图1)。诊断:右侧颞叶占位,考虑淋巴瘤可能,结合临床;MRA可见病灶小血管穿行;颅脑MRV未见明显异常。

图1 颅脑MRI图像
2020-12-15手术治疗:在全麻下行脑病损切除术+硬脑膜缝合术。术中肉眼所见:灰黄灰褐色组织数块,合计4cm*3cm*1.5cm;术后病理:(右侧颞叶)星形胶质细胞瘤WHO IV级(图2);免疫病理I20-12222:GFAP(+),Ki-67(30%+),P53(60%+),EGFR(+),S100(+),Vimentin(+),Olig-2(+),IDH-1(-),NeuN(-),ATRX(+),H3K27M(-),Syn(+),CD34(-),CK(-),LCA(-)。

图2 病理染色结果
2020-12-28基因检测:此次送检样本的检测结果中,发现肿瘤辅助诊断、分型及预后相关基因TERT突变、EGFR扩增、和MGMT甲基化阳性;遗传肿瘤易感基因初步筛查检测结果显示:未见与遗传性肿瘤发生风险相关的明确致病性突变。
2021-2-2行一线治疗:放疗方案:CTV1(术后瘤床),60Gy/30f(图3)。放疗期间同步口服替莫唑胺140mg qd/42d,放疗后一月开始替莫唑胺辅助治疗。

图3 放疗计划
首次复发
2022-7-1颅脑MRI平扫+增强:右侧额叶侧脑室前角旁可见结节状稍长T1长T2信号影,直径约7mm,DWI呈等低信号,增强后可见强化。另右侧基底节区后部可见稍长T1长T2信号影,直径约15mm,DWI呈高信号,增强后可见不均匀轻度强化(图4)。诊断:右侧颞叶胶质瘤术后,右侧额叶侧脑室前角旁结节,右侧基底节区后部片状异常信号,较前(2022-3-19)新发,结合病史考虑转移可能。右侧脑室周围及胼胝体压部缺血灶,较前片相仿;右侧额颞部少许硬膜下积液,较前稍吸收;右侧基底节区陈旧性腔梗灶。

图4 颅脑MRI图像
2022-8-20至2023-3-16靶向联合替尼泊苷化疗:贝伐珠单抗800mg靶向治疗+替尼泊苷100mg d1-3化疗,治疗8周期。
2022-9-19脑部MRI随访复查:右侧颞叶胶质瘤术后,右侧额叶侧脑室前角旁结节,右侧基底节区后部片状异常信号,较前(2022-7-1)强化程度减低;右侧脑室周围及胼胝体压部缺血灶,较前片相仿;右侧额颞部少许硬膜下积液,较前稍吸收;右侧基底节区陈旧性腔梗灶(图5)。
2022-11-30脑部MRI随访复查:右侧颞叶胶质瘤术后,右侧额叶侧脑室前角旁结节此次未见,右侧基底节区后部片状异常信号,较前(2022-09-19)强化程度减低;右侧脑室周围及胼胝体压部缺血灶,较前片相仿;右侧额颞部少许硬膜下积液,较前相仿;右侧基底节区陈旧性腔梗灶(图5)。
2023-1-28脑部MRI随访复查:右侧颞叶胶质瘤术后,右侧基底节区后部片状异常信号,较前(2022-11-30)范围基本相仿,建议定期复查;右侧脑室周围及胼胝体压部缺血灶;右侧额颞部少许硬膜下积液,较前相仿;右侧基底节区陈旧性腔梗灶(图5)。
2023-3-28脑部MRI随访复查:右侧颞叶胶质瘤术后;右侧基底节区后部片状异常信号,较前(2023-1-28)范围基本相仿,建议定期复查;右侧侧脑室周围及胼胝体压部缺血灶;右侧基底节区陈旧性腔梗灶(图5)。


图5靶向+替尼泊苷治疗前后脑部MRI图像
2023-3-28至2023-4-13脑部再程放疗:采用调强适形放疗(IMRT)。GTV(脑肿瘤灶):35Gy/10f,CTV(GTV周围亚临床病灶) 30Gy/10f。每天1次,2周完成(图6)。

图5 放疗计划
继续替尼泊苷联合靶向治疗
2023-4-10至2023-12-29靶向联合替尼泊苷化疗:贝伐珠单抗800mg靶向治疗+替尼泊苷100mg d1-3化疗,治疗8周期。
2023-6-15随访复查颅脑MRI平扫+增强:右侧颞叶胶质瘤术后;右侧基底节区后部点状异常信号,较前(2023-3-28)缩小;右侧大脑脚华勒氏变性;右侧侧脑室周围及胼胝体压部缺血灶;右侧基底节区陈旧性腔梗灶;右侧基底节区亚急性腔梗灶?(图6)

图6 颅脑MRI图像
2023-9-22脑部MRI随访复查:右侧颞叶胶质瘤术后;右侧基底节区后部点状异常信号,较前(2023-06-15)相仿,建议定期复查;右侧大脑脚华勒氏变性;桥脑小片状异常信号,较前新发,软化灶伴出血?转移待排;右侧胼胝体压部及桥脑急性腔梗,较前新发,随诊复查;右侧侧脑室周围缺血灶;右侧基底节区陈旧性腔梗灶;两侧筛窦炎(图7)。

图7 颅脑MRI图像
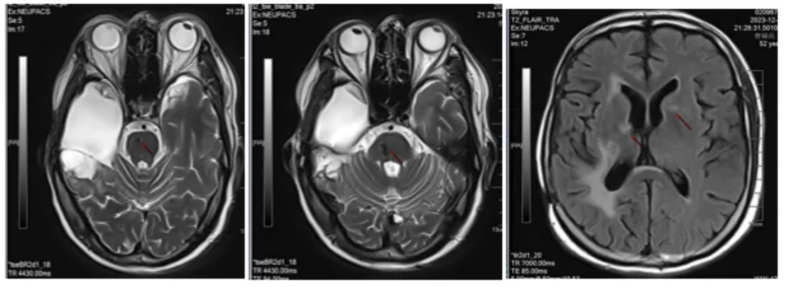
2023-12-29脑部MRI随访复查:右侧颞叶胶质瘤术后;右侧基底节区后部点状异常信号,较前(2023-09-22)相仿,建议定期复查;右侧大脑脚华勒氏变性;桥脑小片状异常信号,较前增大,软化灶并含铁血黄素沉积?转移待排;右侧侧脑室边缘及左侧基底节异常信号,急性腔梗可能,较前新发,随诊复查;右侧侧脑室周围缺血灶;右侧基底节区陈旧性腔梗灶;两侧筛窦炎(图8)。

图8 颅脑MRI图像
再次复发
2024-7-14脑部MRI随访复查:右侧颞叶术后,右侧颞叶软化灶,右侧颞顶枕叶脑组织水肿,较前(2024-04-17)相仿;右侧侧脑室后角旁复发灶可能大,较前范围稍增大;右侧额叶、半卵圆中心、丘脑、脑桥右侧异常信号,右侧额叶及半卵圆中心异常信号较前范围稍增大,余较前大致相仿;双侧基底节区腔隙灶(图9)。

图9颅脑MRI图像
调整化疗方案:2024-7-14复查前患者发生脑梗事件,患者怀疑与贝伐珠单抗相关副作用存在关联,要求停用贝伐珠单抗。2024-8-8至2025-2-8化疗方案调整为替尼泊苷单药,100mg d1-3,治疗8周期。患者目前一般情况良好,生命体征平稳,当前处于规律随访阶段,持续进行临床评估及必要的辅助检查以监测疾病动态。
病例总结
指南指出,对于高级别脑胶质瘤,手术是基础治疗,放/化疗等是不可或缺的重要辅助治疗手段[4],其中,化疗对进一步杀灭残存肿瘤细胞起到非常重要的作用,可以显著延长胶质瘤患者的生存期,推荐以分子特征为依据的个体化化疗,联合分子靶向药物或其他新药,进一步提高胶质瘤化疗疗效。《胶质瘤化疗中国专家共识》提出,对MGMT蛋白表达阳性胶质瘤采用非甲基化类药物化疗效果明显优于TMZ和亚硝脲类甲基化类药物,其中替尼泊苷联合化疗在初治和复发胶质瘤都显示良好效果[5]。
本例患者诊断为右侧颞叶星形胶质细胞瘤WHO IV级,接受了包括脑病损切除术、放疗、化疗及靶向治疗在内的多模式治疗。术后病理确诊后,患者进行了放射治疗及同步化疗(替莫唑胺),并辅以替莫唑胺治疗。然而,病情复发,复发后,患者接受了贝伐珠单抗靶向联合替尼泊苷化疗。替尼泊苷作为常用化疗药物,具有脂溶性高,血脑屏障透过率好等优势,在此方案中发挥了重要作用。患者共接受了24个周期的替尼泊苷化疗,期间随访复查结果显示,病情在一定程度上得到了控制,异常信号的强化程度有所减低,且部分病灶范围保持稳定或有所缩小。尽管病情仍有所进展,但替尼泊苷联合治疗方案提高了6个月的无进展生存期(PFS)率,在一定程度上延缓了病情进展,为患者争取了宝贵的时间。
专家点评
该病例诊疗过程体现了高级别胶质瘤治疗的复杂性及多学科协作的重要性,尤其突出了替尼泊苷在复发胶质瘤治疗中的价值。患者初始治疗采用最大范围手术切除,术后病理证实为恶性程度最高的星形胶质细胞瘤WHO IV级,基因检测显示TERT突变、EGFR扩增及MGMT甲基化阳性,提示预后不良。一线治疗采用标准Stupp方案,符合国际指南推荐。病情复发后,治疗策略及时调整为贝伐珠单抗联合替尼泊苷的靶向化疗方案,这一决策具有重要临床意义。
替尼泊苷作为拓扑异构酶II抑制剂,可通过抑制DNA合成和有丝分裂,从而抑制细胞的增殖和分裂,阻断有丝分裂于S后期和G2前期,影响肿瘤细胞DNA的合成[6]。本病例中,患者接受替尼泊苷100mg d1-3±贝伐珠单抗靶向方案共24周期,治疗期间多次MRI随访显示病灶强化程度减低、异常信号范围稳定,提示该方案有效控制了肿瘤进展。尽管最终仍出现疾病进展,但PFS1达18个月、PFS2达24个月,显著延长了患者的生存期。然而,病例也反映出高级别胶质瘤治疗面临的挑战:尽管采用多模式治疗,肿瘤最终仍出现耐药及进展,提示需要进一步探索新型治疗策略,如替尼泊苷联合免疫治疗或电场治疗等。
病例提供专家

桑茹 教授
苏州大学附属第一医院放疗科,主治医师
从事肿瘤放疗工作十余年,擅长鼻咽癌、食管癌、宫颈癌、肺癌等各种恶性肿瘤的放射治疗及放化疗,靶向治疗等综合治疗。
点评专家

王建平 教授
苏州大学附属第一医院
主任医师,医学博士,硕士研究生导师
中国医药教育协会肺癌医学教育委员会委员
中国医药教育协会智能医学专业委员会委员
中国健康促进基金会肿瘤精准个体化防治专家委员会委员
中华结直肠癌MDT联盟江苏分会常委兼苏州分会副主任委员
江苏省医学会肿瘤免疫学专业委员会转化医学专业委员会委员
江苏省抗癌联盟食管癌委员会委员
苏州抗癌协会理事
苏州医学会肿瘤MDT学组委员兼副组长
苏州市医学会肿瘤学分会食管肿瘤学组委员
苏州市抗癌协会食管癌专业委员会常委
苏州市抗癌协会肝癌专业委员会常委
参考文献:
[1]张绪翠,曲宝俊,华冰. MRI判断星形胶质细胞瘤(AG)术前分级的准确性及复发者的征象特点[J]. 中国CT和MRI杂志,2016,14(10):17-19.
[2]Sathornsumetee S, Rich JN, Reardon DA. Diagnosis and treatment of high-grade astrocytoma. Neurol Clin. 2007 Nov;25(4):1111-39.
[3]Woo PYM, Pu JKS, Li LF, et al. Impact of alternating electric fields therapy for newly diagnosed WHO grade 4 astrocytoma on patient survival: a real-world propensity-score adjusted prospective multicenter study. J Neurooncol. 2025 Jun;173(2):317-330.
[4]中国抗癌协会脑胶质瘤专业委员会. 中国抗癌协会脑胶质瘤整合诊治指南(精简版)[J]. 中国肿瘤临床,2022,49(16):811-818.
[5]中国抗癌协会神经肿瘤专业委员会,陈忠平. 胶质瘤化疗中国专家共识[J]. 中国神经精神疾病杂志,2024,50(8):449-462.
[6]田艳萍,许宁. 紫杉醇、替尼泊苷及顺铂治疗非小细胞肺癌脑转移[J]. 中西医结合心脑血管病杂志,2006,4(8):718-719.
猜你喜欢
- 搜索
-
- 1000℃李寰:先心病肺动脉高压能根治吗?
- 1000℃除了吃药,骨质疏松还能如何治疗?
- 1000℃抱孩子谁不会呢?保护脊柱的抱孩子姿势了解一下
- 1000℃妇科检查有哪些项目?
- 1000℃妇科检查前应做哪些准备?
- 1000℃女性莫名烦躁—不好惹的黄体期
- 1000℃会影响患者智力的癫痫病
- 1000℃治女性盆腔炎的费用是多少?
- 标签列表
-
- 星座 (702)
- 孩子 (526)
- 恋爱 (505)
- 婴儿车 (390)
- 宝宝 (328)
- 狮子座 (313)
- 金牛座 (313)
- 摩羯座 (302)
- 白羊座 (301)
- 天蝎座 (294)
- 巨蟹座 (289)
- 双子座 (289)
- 处女座 (285)
- 天秤座 (276)
- 双鱼座 (268)
- 婴儿 (265)
- 水瓶座 (260)
- 射手座 (239)
- 不完美妈妈 (173)
- 跳槽那些事儿 (168)
- baby (140)
- 女婴 (132)
- 生肖 (129)
- 女儿 (129)
- 民警 (127)
- 狮子 (105)
- NBA (101)
- 家长 (97)
- 怀孕 (95)
- 儿童 (93)
- 交警 (89)
- 孕妇 (77)
- 儿子 (75)
- Angelababy (74)
- 父母 (74)
- 幼儿园 (73)
- 医院 (69)
- 童车 (66)
- 女子 (60)
- 郑州 (58)