首页 > 医疗资讯/ 正文
替莫唑胺联合替尼泊苷,点亮神经胶质瘤患者生命之灯。
神经胶质瘤是最常见的原发性中枢神经系统(CNS)肿瘤,占所有恶性脑肿瘤的81%[1]。研究显示,约2/3的神经胶质瘤为高度恶性病变[2],具有疾病进展快、侵袭性强的特征,以胶质母细胞瘤(GBM)为典型。在我国,神经胶质瘤的年发病率为5/10万~8/10万,5年病死率在全身肿瘤中仅次于胰腺癌和肺癌[3],疾病负担十分沉重。目前,如何优化治疗方案,改善患者预后是临床亟待解决的问题。
在本文中,西湖大学附属杭州市肿瘤医院放疗科戴慧教授分享了一例神经胶质瘤患者的精彩诊疗经历,西湖大学附属杭州市肿瘤医院放疗科戴慧教授、浙江省立同德医院放疗科章霓教授对该病例进行点评,希望能为领域同道提供临床诊疗新思路。
病例简介
➤ 基本情况
基本信息:男性,20岁,因“脑鞍区活检术后9月,颈髓胶质瘤术后3月余”于2022年10月11日入我院。
➤ 病史
2022年1月5日,患者脑内病灶活检提示:脑胶质肿瘤,考虑弥漫性星形细胞瘤,IDH野生型,中枢神经系统(CNS)WHO至少2级。2022年6月22日,行颈髓病损切除术,手术病理提示颈椎恶性肿瘤,考虑头颅、颈椎病灶同源,CNS WHO至少3级。
➤ 诊疗经过及疗效评价
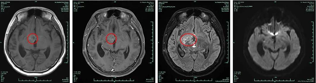
(一)替莫唑胺化疗同步放疗:2022年7月11日至2022年7月22日2022年7月11日起行口服替莫唑胺280mg化疗,每日一次(QD)。7月20日、7月22日,分别行放疗前头颅、脊髓MRI检查,结果示:疾病进展(PD),颈椎、胸椎、腰椎、骶椎相应脊膜继发恶性肿瘤。


图1. 放疗前头颅MRI检查结果(2022.7.20)

图2.放疗前脊髓MRI检查结果(2022.7.22)
(二)姑息放疗及全身抗肿瘤治疗:2022年7月27日至8月26日患者接受姑息性放疗,期间行全身抗肿瘤治疗。
2022年7月29日,予替尼泊苷注射液化疗第1周期(100mg QD d1-d3 q3w)、贝伐珠单抗注射液靶向治疗第1周期;7月30日至8月8日、8月23日至8月26日,替莫唑胺同步口服化疗。
2022年8月23日,复查脊髓MRI,疗效评价为部分缓解(PR);双下肢肌力5级。

图3.放疗末期复查脊髓MRI检查结果(2022.8.23)
(三)替莫唑胺+替尼泊苷联合化疗:2022年9月14日至12月14日
2022年9月14日:予替莫唑胺化疗1周期(280mg QD d1-5 q4w )
2022年10月11日至2022年12月9日:予替莫唑胺化疗3周期(360mg QD d1-5 q4w).
2022年9月20日至2022年12月14日:行替尼泊苷注射液化疗5周期(100mg QD d1-2 q3w)。
化疗结束后,予聚乙二醇化重组人粒细胞刺激因子注射液预防性升白细胞(6mg 皮下注射),期间复查血常规、生化,未见明显异常。
2022年9月15日,头颅MRI提示疾病稳定(SD)。

图4.维持化疗期间头颅MRI检查结果(2022.9.15)
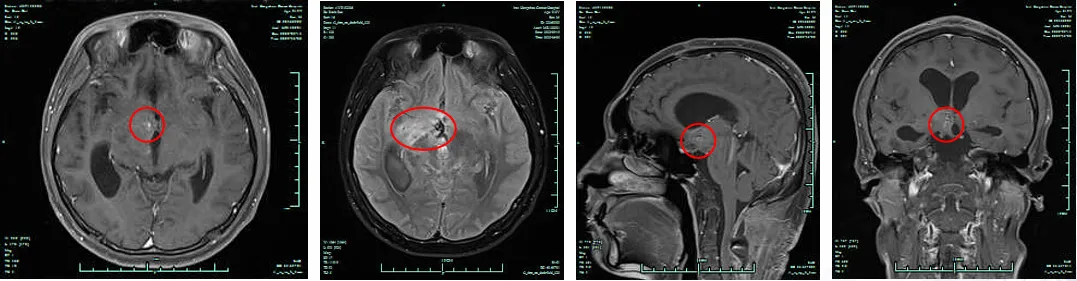
2022年10月14日,行脊髓MRI检查,疗效评价SD。

图5.维持化疗期间脊髓MRI检查结果(2022.10.14)
2023年1月4日、1月6日,复查头颅MRI、脊髓MRI检查,疗效评价SD。

图6.维持化疗期间头颅MRI检查结果(2023.01.04)

图7.维持化疗期间脊髓MRI检查结果(2023.01.06)
专家点评
戴慧教授点评
神经胶质瘤素以治疗难度大闻名,手术切除,辅以放、化疗的治疗策略为临床应用中的标准方案,然而,即使接受了这些治疗,高级别神经胶质瘤患者预后仍不理想。既往研究显示,侵袭性最强的胶质母细胞瘤患者接受治疗后,中位生存期(OS)仅15个月左右[3]。因此,如何改善神经胶质瘤预后、延长患者生存期是困扰临床上已久的难题。
本例患者自2021年9月首次就诊后,先后接受了鞍区放疗、手术治疗及替莫唑胺(TMZ)化疗,然而,其疾病仍出现快速进展,这也再次印证了高级别神经胶质瘤的难治性和复杂性。2022年7月起,患者接受姑息性放疗,并于放疗期间开始替尼泊苷、TMZ、贝伐珠单抗全身抗肿瘤治疗。令人欣喜的是,患者在该治疗阶段结束时,肿瘤组织实现了PR。此后,继续给予患者替尼泊苷和TMZ联合化疗进行维持,从2022年9月至12月,患者共接受替尼泊苷化疗5周期,TMZ化疗4周期,其头颅、颈椎等病灶均得到有效控制,疗效评价维持SD。此外,在安全性方面,患者接受TMZ联合替尼泊苷化疗耐受度尚可,化疗期间,其血常规、生化均未出现明显异常。
从该诊疗经过中不难看出,TMZ和替尼泊苷联合化疗成功遏制了患者的疾病进展,实现了病灶的稳定维持。在高级别神经胶质瘤预后普遍较差的情况下,此病例的成功不仅直观展示了该联合化疗方案的有效性和安全性,也为高级别胶质瘤的临床治疗策略提供了新思路。在今后的胶质瘤治疗中,TMZ和替尼泊苷的联合是值得医生和患者考虑的治疗选择。
章霓教授点评
近二十年来,化疗在治疗神经胶质瘤中的价值被逐渐强调,研究发现,几乎所有新诊断的弥漫性神经胶质瘤(WHO 2-4 级)均可进行化疗[4]。TMZ为新型烷化剂,具有口服生物利用度高的优势,是国内外权威指南推荐的胶质瘤化疗一线药物。然而,使用TMZ单药治疗胶质瘤的疗效仍有待提高。由于神经胶质瘤的瘤内异质性,一个实体瘤中常含有药物敏感性不同的亚克隆体,因此,选择药物作用机制不同、毒性机制不重叠的药物进行联合化疗可能会有更佳的治疗效果。此外,中国国家卫健委发布的《2022 脑胶质瘤诊疗指南》也做出了强调,对于高级别脑胶质瘤患者,给予个体化化疗具有突出价值。
因此,联合化疗是高级别胶质瘤的探索重点,目前针对TMZ联合化疗的临床研究也在逐步开展之中。替尼泊苷作为一种鬼臼毒类药物,主要作用于DNA拓扑酶Ⅱ,具有低毒性和强中枢神经系统穿透性,对于胶质瘤等颅内肿瘤,替尼泊苷具有出色的治疗效果。根据《2015 中国中枢神经系统胶质瘤诊断与治疗指南》可知,替尼泊苷在联合化疗中扮演着重要角色,是胶质瘤联合化疗的可选治疗药物。
本文病例则是TMZ联合替尼泊苷化疗的出色实践,患者接受联合化疗后病灶得以维持稳定,从而实现了生存获益。随着TMZ、替尼泊苷该联合治疗的可行性在真实世界中不断得到验证,高级别脑胶质瘤患者迎来了新的治疗选择,其临床意义深远。此外,该病例也进一步显示出联合化疗在胶质瘤治疗中的关键作用,并为今后优化治疗方案、提升患者的生存率及生活质量提供了宝贵的参考。展望未来,我们期待随着个体化、精准治疗的不断推行,TMZ联合替尼泊苷的化疗方案能在更多神经胶质瘤患者中得到应用,从而造福更多的患者。同时,我们也期待同道们能持续探索和创新,为神经胶质瘤患者开拓更多有效且安全的治疗选择。
病例提供及点评专家简介

戴慧 教授
主任 主任医师
西湖大学附属杭州市肿瘤医院放疗三病区主任
中国医师协会中枢神经肿瘤放疗学组委员
浙江省抗癌协会鼻咽癌专业委员会委员
浙江省抗癌协会骨与软组织肿瘤专业委员会委员
浙江省医师协会泌尿生殖系统肿瘤专业委员会委员
浙江省生物医学会肿瘤精确放射治疗专委会常委
中国肿瘤防治联盟浙江省联盟鼻咽癌分会委员,
杭州市预防医学会肿瘤防治专业委员会委员,
浙江省医学会肿瘤分会营养支持治疗学组成员,
杭州市医学会肿瘤学分会头颈肿瘤组副组长,
杭州市引进人才,温州市“551”人才
点评专家简介

章霓 主任医师
浙江省立同德医院放疗科主任助理
浙江省解剖学会妇科肿瘤专业委员会常委
中国研究型医学会神经再生与修复专委会委员
浙江省抗癌协会鼻咽癌委员会委员
浙江省抗癌协会儿童肿瘤委员会委员
浙江省抗癌协会神经肿瘤专委会青年委员
浙江省科技专家库成员
参考文献:
[1] Ostrom QT, Bauchet L, Davis FG,et al. The epidemiology of glioma in adults: a "state of the science" review. Neuro Oncol. 2014 Jul;16(7):896-913.
[2] Norden AD, Wen PY. Glioma therapy in adults. Neurologist. 2006 Nov;12(6):279-92.
[3]国家卫生健康委员会医政医管局,中国抗癌协会脑胶质瘤专业委员会,中国医师协会脑胶质瘤专业委员会.脑胶质瘤诊疗指南(2022版)[J].中华神经外科杂.
[4] Taal W, Bromberg JE, van den Bent MJ. Chemotherapy in glioma. CNS Oncol. 2015;4(3):179-92. doi: 10.2217/cns.15.2. Epub 2015 Apr 23.
- 搜索
-
- 1000℃李寰:先心病肺动脉高压能根治吗?
- 1000℃除了吃药,骨质疏松还能如何治疗?
- 1000℃抱孩子谁不会呢?保护脊柱的抱孩子姿势了解一下
- 1000℃妇科检查有哪些项目?
- 1000℃妇科检查前应做哪些准备?
- 1000℃女性莫名烦躁—不好惹的黄体期
- 1000℃会影响患者智力的癫痫病
- 1000℃治女性盆腔炎的费用是多少?
- 标签列表
-
- 星座 (702)
- 孩子 (526)
- 恋爱 (505)
- 婴儿车 (390)
- 宝宝 (328)
- 狮子座 (313)
- 金牛座 (313)
- 摩羯座 (302)
- 白羊座 (301)
- 天蝎座 (294)
- 巨蟹座 (289)
- 双子座 (289)
- 处女座 (285)
- 天秤座 (276)
- 双鱼座 (268)
- 婴儿 (265)
- 水瓶座 (260)
- 射手座 (239)
- 不完美妈妈 (173)
- 跳槽那些事儿 (168)
- baby (140)
- 女婴 (132)
- 生肖 (129)
- 女儿 (129)
- 民警 (127)
- 狮子 (105)
- NBA (101)
- 家长 (97)
- 怀孕 (95)
- 儿童 (93)
- 交警 (89)
- 孕妇 (77)
- 儿子 (75)
- Angelababy (74)
- 父母 (74)
- 幼儿园 (73)
- 医院 (69)
- 童车 (66)
- 女子 (60)
- 郑州 (58)